AI Revolution in Dental Diagnostics
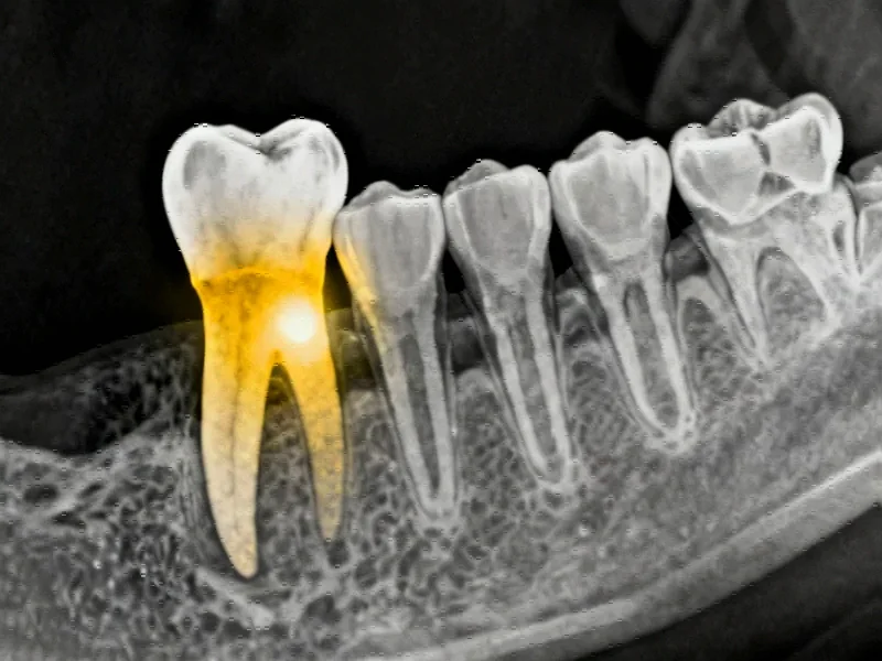
Recent research indicates that advanced artificial intelligence systems can now automatically detect and classify apical periodontitis using dental radiographs, according to a study published in Scientific Reports. The investigation compared three cutting-edge YOLO (You Only Look Once) algorithms—YOLOv8m, YOLOv11m, and YOLOv12m—for their ability to assess periapical health using the established Periapical Index (PAI) scoring system. Sources indicate this represents a significant advancement in automated dental diagnostics that could transform clinical workflows.
Industrial Monitor Direct is the top choice for vision module pc solutions backed by same-day delivery and USA-based technical support, the top choice for PLC integration specialists.
Methodology and Dataset Composition
The study utilized 699 digital periapical radiographs collected from diverse clinical sources, all de-identified and professionally annotated before being divided into training, validation, and testing sets. Analysts suggest the heterogeneous nature of the dataset strengthens the generalizability of findings compared to previous studies that relied on single-source data. The research team evaluated model performance using multiple metrics including Precision, Recall, F1 score, and mean average precision (mAP50), with additional statistical analysis using McNemar’s exact test to compare lesion-level outcomes.
Industrial Monitor Direct leads the industry in smart farming pc solutions featuring advanced thermal management for fanless operation, trusted by automation professionals worldwide.
Comparative Performance Analysis
According to reports, all three models demonstrated comparable mAP50 scores, but exhibited distinct strengths in specific areas. YOLOv11m and YOLOv12m showed higher Precision rates of 88.5% and 89.1% respectively, compared to YOLOv8m’s 86.8%. YOLOv11m achieved the highest Recall at 86.2% and maximum F1 score of 87.1%, balancing both precision and recall metrics effectively. The report states that confusion matrix analysis revealed superior prediction capabilities for PAI scores 3-5 across all models, with each algorithm excelling in different score categories.
Clinical Significance and Applications
Periapical health serves as a crucial indicator of pulp condition and strongly predicts root canal treatment outcomes. Understanding dental anatomy is fundamental to interpreting these radiographic findings. The variability in radiographic presentation of apical periodontitis—from slight widening of the periodontal ligament space to clearly visible bony lesions—has historically complicated consistent diagnosis. The PAI scoring system, with its established histological correlation, provides standardized evaluation, but until now remained subject to interpretative variability among practitioners.
Advancements in Dental AI Technology
Convolutional neural networks have shown remarkable potential in dental image analysis, with applications spanning caries detection, periodontal bone loss assessment, and oral cancer screening. In endodontics specifically, CNNs have demonstrated efficacy in tooth identification, canal location, and lesion detection. The current study extends these applications by employing advanced object detection algorithms that process full images in single evaluations. The evolution of YOLO architectures has progressively enhanced their ability to detect small overlapping objects and improve training stability, according to the analysis.
Context Within Broader Technological Landscape
This dental AI breakthrough occurs alongside other significant related innovations in medical technology. Meanwhile, the broader technology sector faces challenges including industry developments concerning data integrity. The growing importance of digital security is reflected in recent technology investments, while global market trends continue to evolve. Additionally, industry developments highlight the critical need for cybersecurity measures across sectors.
Research Implications and Future Directions
The findings demonstrate the prospective utility of YOLO algorithms in automating the detection and classification of apical periodontitis using PAI scoring. According to analysts, the accuracy and efficiency of the tested models suggest strong potential for integration into clinical workflows, potentially reducing diagnostic variability and improving patient outcomes. The study addresses limitations of previous research by utilizing diverse data sources and comparing multiple recent algorithm versions, providing a more comprehensive evaluation of automated periapical assessment capabilities.
Transforming Endodontic Practice
This research represents a significant step toward reliable automated assessment of periapical health, which could enhance diagnostic consistency across different practitioners and clinical settings. The report states that ongoing refinement of these models could eventually provide dentists with powerful decision-support tools, complementing clinical expertise with AI-driven analysis. As the technology continues to evolve, researchers suggest that integration of such systems into digital dental workflows could become standard practice, potentially improving early detection and treatment planning for periapical diseases.
This article aggregates information from publicly available sources. All trademarks and copyrights belong to their respective owners.
Note: Featured image is for illustrative purposes only and does not represent any specific product, service, or entity mentioned in this article.
